|
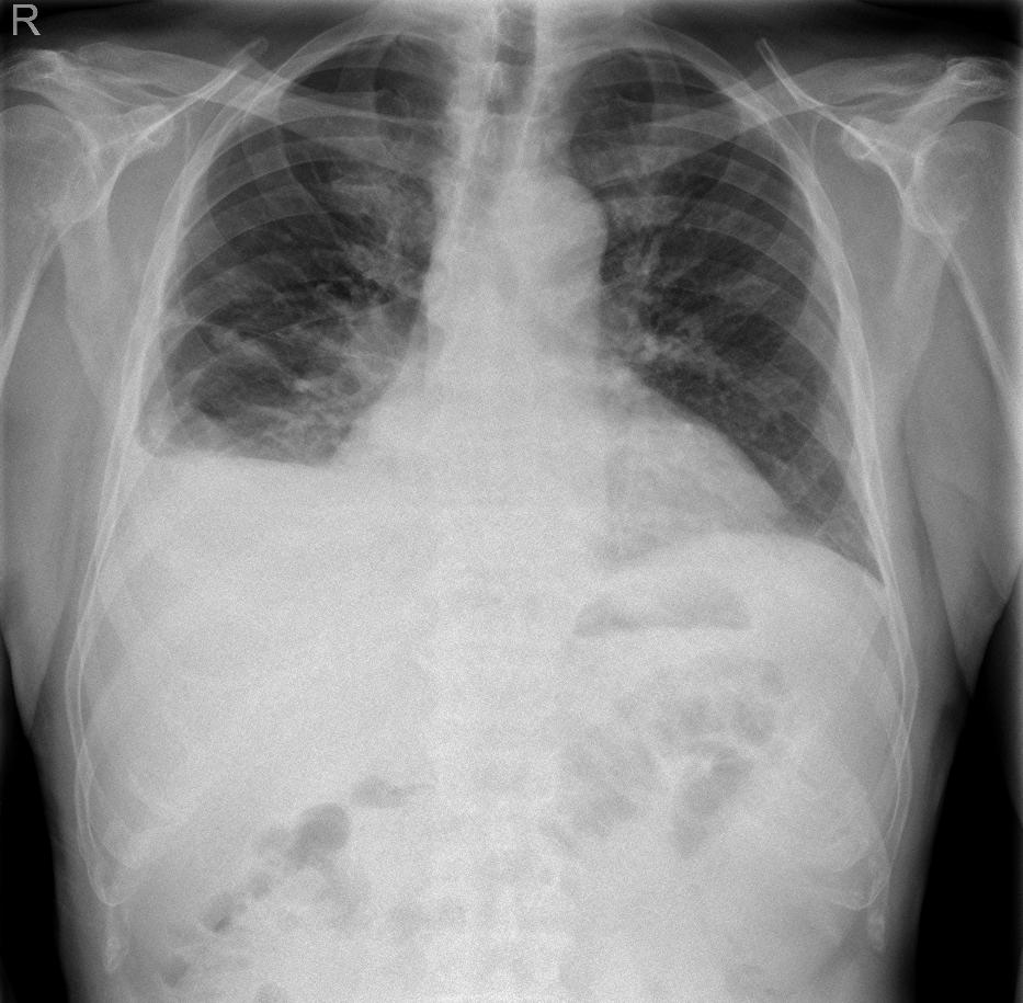
Pacient s adenokarcinomem pravého dolního laloku s metastázou do plic, na RTG hrudníku fluidothorax vpravo.
Ultrazvukovým vyšetřením potvrzen hyperechogenní fluidothorax vpravo, provedena pleurální punkce, získán slámově žlutý výpotek, biochemicky exudát, cytologicky bez maligních buněk.

| ChW | - | hrudní stěna |
| F | - | fluidothorax |
| P | - | plicní parenchym |
| Li | - | játra |
česky
english